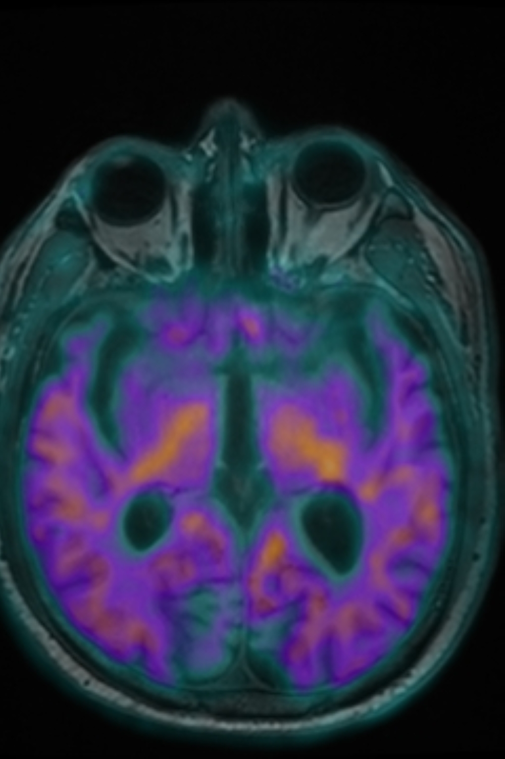
دشن مركز التصوير الجزيئي I-One، التابع لشركة وادي جدة، الذراع الاستثماري لجامعة الملك عبدالعزيز، اليوم الاثنين 15 ديسمبر 2024م، خدمة التصوير الجزيئي Amyloid PET MRI لتشخيص مرض الزهايمر، وذلك بالتعاون مع شركة Oryx Isotopes لإنتاج وتوريد مادة Amyloid (18F – FBB).
ويأتي هذا الإنجاز ضمن أعمال مركز التصوير الجزيئي I-One، الذي يعد الأول والوحيد من نوعه على مستوى المنطقة الغربية والجنوبية بالمملكة في إنتاج المستحضرات الصيدلانية المشعة باستخدام المسارع الذري (Cyclotron)، وتقديم خدمات التصوير البوزيتروني المقطعي PET/CT، والتصوير البوزيتروني الطبقي المدمج بالرنين المغناطيسي PET/MRI، وهو الجهاز الأول والوحيد من نوعه على مستوى المملكة.
بهذا التدشين، أصبح مركز التصوير الجزيئي I-One الأول والوحيد على مستوى الشرق الأوسط الذي يقدم خدمة تشخيص مرض الزهايمر باستخدام تقنية PET/MRI، مما يعزز مكانته الرائدة في مجال التصوير الجزيئي على المستويين المحلي والإقليمي.






